Dr Arvind Vasudeva

Cardiology Tests

ECG

A 12 lead ECG is a heart tracing that can be undertaken during the consultation. It can provide an indication of an underlying heart rhythm problem or evidence of previous heart damage but a normal ECG does not preclude a cardiac problem.

Echocardiogram

An echocardiogram (or cardiac ultrasound test) is a way of directly imaging the heart muscle and heart valves. It is similar to other ultrasound tests and is completely painless. It can assess how efficiently the heart is working. It can also provide information on the heart valves as well as the sac surrounding the heart (the pericardium). This test is useful in virtually every type of cardiac symptom.

Exercise (or Stress) ECG

This a common test that involves walking on a treadmill whilst attached to an ECG to monitor the patient’s heart. As the treadmill gets progressively steeper and faster one can determine if there is any strain on the heart due to narrowing of the heart arteries, or any change in the heart’s rhythm.

Ambulatory (Portable) ECG Monitor

This is a portable ECG that a patient can wear for up to 7 days and allows continuous monitoring of the patient’s ECG. By keeping a diary the patient’s symptoms can be related to any changes in heart rhythm.

ZIO ECG Patch

This is a new device that allows monitoring of the heart rhythm for up to 14 days. As it is waterproof it can record even during exercise and does not limit the patient’s activities during the recording. It is proving very useful in detecting intermittent changes in heart rhythm.

CT Coronary Angiogram

This test is a non-invasive way to assess heart arteries. The test has two parts. Firstly the test will provide a calcium score, a measure of the amount of calcium in the heart arteries, and will provide an indication of the severity of any disease of the heart arteries. Secondly some dye will be injected to assess any narrowing further. The images are very helpful in deciding if chest pain is caused by narrowing of the heart arteries. It also helps determine if risk factors (such as high cholesterol) are causing early changes, and helps decide if we need to be more aggressive in treating these risk factors.

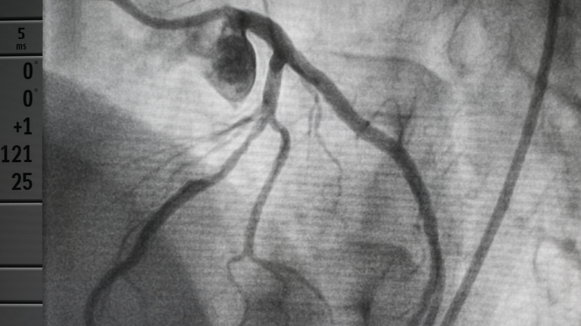
Coronary Angiogram

This is a test where the heart arteries can be directly visualised by an X-ray. Under local anaesthetic a tube is passed via the artery in the wrist or leg into the heart, and dye injected into the heart arteries. This is still the best way of establishing whether there is any narrowing of the heart arteries.

24 Hour Blood Pressure Monitor

This is a portable blood pressure monitor that the patient wears for 24 hours. The blood pressure cuff that is around the arm inflates every 30 minutes while the patient goes about his/her day-to-day activities. This provides a more accurate measure of the patient’s blood pressure compared to a one-off recording measured at the GP’s surgery. This is particularly useful if there is any doubt about the patient’s blood pressure readings (the ‘white coat syndrome’) or sometimes to assess the response to treatment. However patients are strongly encouraged to buy their own blood pressure machine and to take regular recordings at home.